А. Г. Шерцингер, Е. А. Киценко, Е. Д. Любивый, Е. Е. Фандеев, Е. П. Сысоева*.

Федеральное государственное бюджетное учреждение Российский научный центр хирургии им. академика Б. В. Петровского Российской академии медицинских наук.

* Федеральное государственное бюджетное учреждение Гематологический научный центр Министерства здравоохранения и социального развития Российской Федерации.

Абстракт.

Тромбоз воротной вены (ТВВ) – главная причина развития внепечёночной портальной гипертензии. Факторы риска ТВВ принято разделять на системные (наследственные и приобретённые тромбофилии) и локальные (воспалительные процессы в брюшной полости, повреждение портальной системы). Острый ТВВ, как правило, характеризуется неспецифической симптоматикой и поэтому часто остается недиагностированным. Первым проявлением хронического ТВВ часто является угрожающее жизни осложнение портальной гипертензии – пищеводно-желудочное кровотечение. Диагностический комплекс у данных больных должен включать ультразвуковую допплерографию, эзофагогастродуоденоскопию, а также компьютерную (или магнитно-резонансную) ангиографию. Раннее начало антикоагулянтной терапии – главный принцип лечения острого ТВВ. При хроническом ТВВ наиболее радикальным методом является селективное портокавальное шунтирование. Эндоскопическое лечение в сочетании с β-блокаторами – эффективный способ первичной и вторичной профилактики варикозных кровотечений. Несмотря на тяжесть осложнений при ТВВ, прогноз у данной категории больных остаётся относительно благоприятным: 5- летняя выживаемость у них при адекватном лечении и профилактике достигает 85-95%.

 

Portal Vein Thrombosis: Etiology, Diagnosis and Treatment Features.

A. G. Sherzinger, E. A. Kitsenko, E. D. Lyubiviy, E. E. Fandeyev,

E. P. Sysoeva*.

Federal State Budgetary Institution «Petrovsky National Research Centre on Surgery» under the Russian Academy of Medical Sciences. Moscow, Russia.

*Federal State Budgetary Institution «Hematological Research Center» Ministry of Healthcare and Social Development of Russian Federation. Moscow, Russia.

Abstract.

Portal vein thrombosis (PVT) is the main cause of extrahepatic portal hypertension. Risk factors for PVT are divided into systemic (inherited and acquired thrombophilia) and local (abdominal inflammation, injury of the portal system). Acute PVT is usually asymptomatic or oligosymptomatic and thereby often misdiagnosed. Most frequent first manifestation of chronic PVT is the life threatening complication of portal hypertension – gastroesophageal variceal bleeding. Doppler ultrasonography, oesophagogastroduodenoscopy, and also computed or magnetic-resonance angiography should be included in clinical investigation for these patients. Early anticoagulation is the main point in the treatment of acute PVT. Selective portocaval shunt surgery is the most radical procedure for deliverance from portal hypertension and it’s complications in case of chronic PVT. Endoscopic treatment in combination with nonselective β-blockers are effective for primary and secondary prophylaxis of variceal bleeding. Despite severity of the PVT complications, prognosis is good in these patients: 5-years survival is 85-95% if adequate treatment and prophylaxis performed.

Шерцингер Александр Георгиевич, д. м. н., профессор, ФГБУ Российский научный центр хирургии им. акад. Б. В. Петровского РАМН, руководитель отделения экстренной хирургии и портальной гипертензии, 119991 Москва, Абрикосовский пер., 2.

Киценко Евгений Александрович, д. м. н. ФГБУ Российский научный центр хирургии им. акад. Б. В. Петровского РАМН, вед. н. с. отделения экстренной хирургии и портальной гипертензии, 119991 Москва, Абрикосовский пер., 2.

Е. Д. Любивый, к. м. н. ФГБУ Российский научный центр хирургии им. акад. Б. В. Петровского РАМН, зам гл. врача по лечебной работе; вед. н. с. отделения экстренной хирургии и портальной гипертензии, 119991 Москва, Абрикосовский пер., 2.

Е. Е. Фандеев, ФГБУ Российский научный центр хирургии им. акад. Б. В. Петровского РАМН, мл. н. с. отделения экстренной хирургии и портальной гипертензии, 119991 Москва, Абрикосовский пер., д. 2.

Е. П. Сысоева, к. м. н., ФГБУ Гематологический научный центр Минздравсоцразвития РФ, ст. н. с. отделения химиотерапии лейкозов и патологии эритрона, 125167 Москва, Новый Зыковский проезд, д. 4а.

Тромбоз воротной вены (ТВВ) – патологический процесс, характеризующийся окклюзией ствола воротной вены, а также её внутрипечёночных ветвей. [15] Патологический процесс тромбообразования, кроме того, может распространяться и на притоки воротной вены: селезёночную и верхнюю брыжеечную вены. В данной статье речь пойдёт о тромбозе портальной системы, не связанном с циррозом печени (ЦП) или онкопроцессом. По данным Ögren и др., в общей популяции прижизненный риск возникновения тромбоза в портальной системе составляет около 1,1%. [16] ТВВ является главным патогенетическим звеном в развитии внепечёночной портальной гипертензии (ВПГ). [1-7, 10, 17-20] В различных регионах частота его значительно варьирует: от 5-10% на Западе до 20-30% в странах Азии. [19-20] Так, в Индии данное заболевание – причина трети всех кровотечений из варикозно расширенных вен (ВРВ) верхнего отдела желудочно-кишечного тракта, уступая место лишь ЦП. [17-19, 21, 22] За последнее время диагностические возможности выявления ТВВ значительно возросли, что позволяет своевременно поставить диагноз и начать лечение.

Этиология

Этиологические факторы ТВВ принято разделять на системные и локальные. К первым относятся, главным образом, наследственные и приобретённые тромбофилии. [6-8, 15, 21, 23, 30] Группа локальных факторов включает различные воспалительные процессы в брюшной полости [1, 2, 17, 19, 21, 22, 24, 25], а также повреждение воротной вены (в том числе и ятрогенное). [17, 19, 21, 22-26] Очевидно, что наличие локального фактора риска не исключает присутствия 1 или нескольких системных факторов. Беременность и длительный приём оральных контрацептивов также выступают в качестве факторов риска венозных тромбозов вообще и портальной системы в частности. [21, 23, 25, 28, 29] С расширением возможностей изучения организма на молекулярно-генетическом уровне и появлением методов диагностики тромбофилических состояний этиологический спектр для данного заболевания с годами заметно расширился. В табл. 1 перечислены основные этиологические факторы развития ТВВ. Все эти состояния у конкретного пациента могут встречаться как поодиночке, так и в различных комбинациях; при этом большинство системных факторов не имеют никаких клинических проявлений даже на момент обнаружения ТВВ и развития его осложнений. [6, 7, 15, 21, 23, 25, 30, 36]

 

Табл. 1. Этиологические факторы тромбоза портальной системы. [22]

Системные факторы

    Врождённые тромбофилии

    Мутация фактора V (Leiden)

    Мутация фактора II (протромбин)

    Дефицит антитромбина

    Дефицит протеина C

    Дефицти протеина S

    Приобретённые тромбофилии

    Первичные миелопролиферативные заболевания

    Пароксизмальная ночная гемоглобинурия

    Антифосфолипидный синдром

    Гипергомоцистеинемия

    Повышенный уровень фактора VIII

Локальные факторы

    Воспалительный процесс в брюшной полости (перитонит, омфалит, панкреатит, холецистит, дивертикулит)

    Повреждение спленопортальной оси (травма живота, катетеризация пупочной вены, спленэктомия, колэктомия, холецистэктомия, операции на сосудах брюшной полости, инвазивные диагностические манипуляции)

Другие факторы

    Беременность

    Приём оральных контрацептивов

Несмотря на внушительный перечень этиологических факторов, широкие современные диагностические возможности, причина 10-30% наблюдений ТВВ остаётся неизвестной. [1, 5, 6, 7, 9, 17, 20, 21, 23, 28]

Среди приобретённых системных тромбофилий первое место занимают хронические миелопролиферативные заболевания (ХМПЗ), составляя в этой группе от 35 до 55%. [10-12, 20, 23, 28, 30-34, 39] Критериями постановки такого диагноза служат трепанобиопсия красного костного мозга, а также анализ крови на мутацию V617F в гене фермента Янус-киназы 2 (JAK 2). [36, 72, 73] Эта группа болезней системы крови длительное время протекает бессимптомно, и осложнения ТВВ нередко являются первым проявлением болезни. В исследовании Valla et al. (1988) показано, что латентная форма ХМПЗ была обнаружена у 58% больных ТВВ, при этом 51% из них диагноз ХМПЗ был поставлен в отдалённый период наблюдения. [34]

Другими, менее частыми приобретёнными причинами портального тромбоза выступают пароксизмальная ночная гемоглобинурия, антифосфолипидный синдром и др. [20, 22, 24, 35]

Врождённые системные факторы ТВВ, такие как дефицит естественных антикоагулянтов (антитромбин, протеины C и S), мутации генов II и V факторов свертывания, метилентетрагидрофолатредуктызы (МТГФР) также выступают инициаторами тромбоза у данной категории больных с различной частотой. [6, 7, 8, 20-23, 25, 30-33, 36-39, 74] Сравнительно недавно обнаружена ещё одна мутация в гене активируемого тромбином ингибитора фибринолиза (TAFI). [24, 41, 42]

Необходимо также сказать, что ЦП, синдром Бадд-Киари, гепатоцеллюлярная карцинома и онкологические заболевания других органов, трансплантация печени, несомненно, являются факторами риска тромбоза портальной системы, но заслуживают отдельного внимания и, как уже было сказано, не являются темой данной статьи.

Клиническая картина и диагностика

В зависимости от срока возникновения ТВВ принято разделять на острый (ОТВВ) и хронический (ХТВВ). Отличие их заключается в том, что при остром тромбозе морфологические проявления синдрома портальной гипертензии (ПГ) (развитие портопортальных, портосистемных коллатералей, спленомегалия, и др.) незначительны или могут отсутствовать. ХТВВ характеризуется кавернозной трансформацией воротной вены (формированием т. н. «портальной каверномы»). [15] Данный процесс, по некоторым данным, занимает от 3 до 5 недель. [43, 44] Проявляется ХТВВ уже развёрнутой картиной ПГ и её осложнениями, главным образом, кровотечением из ВРВ пищевода и желудка. Данный факт определяет уникальность таких больных: одновременная склонность к тромбозам и кровотечениям. [1, 6, 7, 10, 12, 45]

Острый тромбоз воротной вены

ОТВВ характеризуется наличием болей в животе, появляющихся, как правило, внезапно; а также симптомами, характерными для ишемии кишечника. Однако, наиболее часто острый эпизод тромбоза, либо вообще протекает бессимптомно, либо сопровождается незначительными проявлениями и остаётся недиагностированным вплоть до развития осложнений ПГ. [15, 17, 20, 22, 24, 35, 38] Клинические проявления данного варианта, возможно, связаны со скоростью развития и протяжённостью самого тромбоза. [46] В случае симптоматического течения основными жалобами больных являются боли в верхних отделах живота без чёткой локализации, субфебрильная лихорадка, сопровождаемые диспепсическими явлениями, такими как тошнота, рвота, диарея, чувство переполненности желудка, вздутие живота, общее недомогание и т. д. [20, 28, 40] При поражении брыжеечных сосудов могут появляться симптомы мезентериальной ишемии вплоть до развития инфаркта кишки и кишечной непроходимости. [22, 24, 35] К счастью, такой сценарий наблюдается в небольшом количестве наблюдений (5%). Примерно у трети пациентов обнаруживается спленомегалия и незначительный асцит. [28]

Клиническое обследование должно включать в себя, прежде всего, ультразвуковое допплерографическое исследование (УЗДГ), по данным которого выявляется наличие тромботических масс в просвете ВВ, её ветвей и/или притоков, отсутствие цветного допплеровского сигнала в просвете ВВ при отсутствии сформированной портальной каверномы. [15, 20, 22, 24, 35, 40]

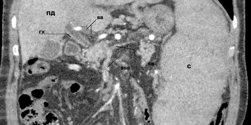
При выполнении компьютерной (КТ) или магнитно-резонансной ангиографии (МРТ) наблюдается дефект контрастирования в просвете ВВ (рис. 1), повышенное наполнение печени в артериальную фазу. [15, 47, 57, 58] Данные исследования, хотя и имеют второстепенное значение, но помогают, во-первых, определить протяжённость тромбоза, а во-вторых, верифицировать инфаркт кишечника, если таковой имеет место. [20, 24, 47]

Рис. 1. КТ-ангиография больной Б. с тромбозом воротной вены (фронтальная проекция). Определяются неконтрастируемый ствол воротной вены (ВВ), частично тромбированная верхняя брыжеечная вена (ВБВ), тромбоз с частичной реканализацией селезеночной вены (СВ), а также расширенный гепатикохоледох (ГХ) с утолщенными стенками (портальная билиопатия). ПД – правая доля печени; С – увеличенная селезенка.

Роль инвазивных методов исследования портальной системы, таких как спленопортография и др. в настоящее время отходит на второй план ввиду высокого разрешения получаемых при КТ и МР-ангиографии изображений, а также возможности последующего 3D-моделирования сосудов.

Всем пациентам с ОТВВ также необходимо выполнять эзофагогастродуоденоскопию (ЭГДС) [15, 20, 24]. Это позволяет провести дифференциальный диагноз с ХТВВ (отсутствие ВРВ пищевода и желудка); кроме того, существуют данные, что одновременное наличие у больного ОТВВ и портальной гастропатии более характерно для ЦП или онкологического процесса. [17, 37, 40]

Хронический тромбоз воротной вены

Так как зачастую эпизод ТВВ протекает бессимптомно, это заболевание диагностируется на поздних стадиях: либо когда развиваются осложнения, связанные с ПГ (пищеводно-желудочные кровотечения, спленомегалия, тромбоцитопения, и, редко, желтуха), либо как случайная находка при обследовании больного по другому поводу. [15, 22, 24, 35]

Осложнения ПГ – главные проявления ХТВВ. Наиболее частым и грозным из них, безусловно, является кровотечение из ВРВ пищевода и желудка. [1-14, 19, 20, 22, 24, 25, 8, 35] Более того, нередко кровотечение – это первый симптом заболевания. Однако летальность, в сравнении с варикозными кровотечениями у больных ЦП, значительно ниже, вероятно из-за сохранной функции печени. [1, 2, 20-22, 24, 33, 35, 50, 46, 49, 50-52]

Наряду с неспецифическими проявлениями, важными клиническими симптомами являются спленомегалия (нередко достигающая гигантских размеров), а также симптомы анемии и/или гипербилирубинемии (при их наличии). [20] Набор инструментальных методов исследования, так же как и в случае ОТВВ, включает в себя УЗДГ, КТ или МР-ангиографию, ЭГДС. Последняя обнаруживает ВРВ пищевода и желудка, при этом они часто имеют большой диаметр и распространяются на весь пищевод (рис. 2), начиная от его верхней трети; переходят на кардию, тело и дно желудка (рис. 3). [6, 7, 10, 13, 14, 25, 44, 50] Наличие эктопических ВРВ (в двенадцатиперстной кишке, аноректальной зоне, ложе желчного пузыря) более характерно для данной группы пациентов, чем для больных ЦП. [53, 54]

Рис. 2. Эндоскопическая картина ВРВ пищевода при тромбозе воротной вены.

Рис. 3. Эндоскопическая картина ВРВ желудка при тромбозе воротной вены.

Основной маркер ХТВВ при УЗДГ, КТ и МР-исследованиях – это наличие портальной каверномы (рис. 4), представляющей собой сеть портопортальных коллатералей в воротах печени. Кроме того, наблюдаются спленомегалия, дефект (или отсутствие) контрастирования стола ВВ или фиброзный тяж на её месте; развитая сеть портопортальных и портосистемных коллатералей в области селезёнки, большого сальника и др.[15, 17, 18-20, 22, 24, 35, 40, 47, 57]

Рис.4. Ультразвуковая допплерогамма больного с хроническим тромбозом воротной вены: представлены сеть коллатеральных сосудов (стрелки) и фиброз (F) в области воротной вены. [35]

Также немаловажным является обнаружение признаков так называемой «портальной билиопатии (ПБ)»: деформация, стриктуры, стенозы, формирование конкрементов билиарного дерева, ВРВ стенки желчного пузыря, его ложа, стенок холедоха и т. д., вызванной ишемией желчевыводящих путей, а также их деформацией портальными коллатералями. ПБ обычно протекает бессимптомно, но иногда проявляется признаками билиарной гипертензии. [51, 55]

Умеренный асцит, если и возникает у таких больных, то, как правило, после действия триггерного фактора, такого как кровотечение из ВРВ или инфекция. При этом он, либо ликвидируется спонтанно, либо легко поддаётся диуретической терапии. [17, 20, 40, 56]

Печёночная энцефалопатия, связанная с формированием спонтанных портосистемных коллатералей или после шунтирующих операций развивается крайне редко, имеет субклинические проявления и практически никогда не влияет на качество жизни больных. [57]

В крови больных могут обнаруживаться низкий уровень антитромбина, протеинов C и S и др., отклонения коагулографических показателей наряду с незначительным (как правило, транзиторным) повышением печёночных трансаминаз и др. функциональных печёночных проб или без такового. [17, 19, 21, 22, 24, 35, 55, 56]

Биопсия печени позволяет исключить хронические паренхиматозные заболевания печени. При морфологическом исследовании печени при ТВВ никаких специфических изменений не наблюдается. Как правило, они включают в себя комплекс атрофических изменений и нодулярную регенераторную гиперплазию паренхимы. [1, 2, 58]

Лечение и прогноз

Основные цели лечения направлены на ликвидацию тромбоза (если это возможно) или предотвращение его рецидива и распространения, а также на борьбу с осложнениями портальной гипертензии ( при ХТВВ) [15, 22, 24, 35].

В случае острого тромбоза наиболее эффективным способом лечения является как можно более раннее назначение антикоагулянтной терапии (АКТ) [15, 17-22, 28, 29, 35, 39, 40, 46, 59, 60, 63]. Частота спонтанной полной реканализации при ТВВ ничтожно мала. [22, 24, 28, 35] Тогда как при раннем начале АКТ (в течение первого месяца после тромбоза) полная реканализация отмечена, по разным данным, в 35-45,4% наблюдений. [28, 39, 59] Согласно Международному консенсусу по портальной гипертензии Baveno V (2010 г.), длительность АКТ (низкомолекулярные гепарины с последующим переходом на оральные антикоагулянты) у таких больных должна составлять, по меньшей мере, 3 месяца (до 6 месяцев, т. к. в этот период наблюдается реканализация тромба); а у лиц, страдающих различными видами тромбофилий, может обсуждаться вопрос о пожизненной АКТ. [15] При присоединении инфекции в остром периоде следует назначать антибактериальную терапию. [15, 17]

Кроме того, существуют несколько исследований небольших групп пациентов с применением локальной тромболитической терапии (препаратами урокиназы, стрептокиназы и рекомбинантного тканевого активатора плазминогена). И хотя процент той или иной степени реканализации отмечен у 85% больных, тяжёлые осложнения, в том числе, массивные кровотечения, наблюдались у 60% пациентов.[24, 59, 60] Это заставило практически отказаться от данного вида лечения и отдать предпочтение более консервативным методам. Аналогично широкого распространения не получила и тромбэктомия. Положительный эффект этой манипуляции нивелируется, во-первых, частым развитием осложнений этого вмешательства, а во-вторых, данная процедура сама по себе может провоцировать рецидив ТВВ. [61, 62]

Однозначного мнения по поводу АКТ у больных ХТВВ на данный момент не существует ввиду недостаточности проведённых исследований. [15, 63] АКТ у данной категории больных направлена на профилактику рецидива и распространения тромбоза портальной системы. В исследовании Condat et al. было показано, что при должных мерах первичной и вторичной профилактики кровотечений из ВРВ пищевода и желудка, АКТ не вызывает повышение риска и не усугубляет тяжесть варикозных кровотечений. [46] Вопрос длительности проведения АКТ у таких больных должен решаться в индивидуальном порядке; но при выявлении тромбофилий у больных ХТВВ, рецидивирующих тромбозах, семейном характере заболевания необходимо обсуждать вопрос пожизненной АКТ [6, 7, 15, 46, 63]

В настоящее время данные о проведенных исследованиях в области первичной профилактики кровотечений из ВРВ недостаточно, поэтому тактика в данном случае идентична таковой при циррозе печени. [15] С этой целью используется фармакологическая терапия и эндоскопические методы лечения отдельно или в сочетании друг с другом. [15, 20, 22, 24, 63]

Тактика при продолжающемся кровотечении сводится к использованию эндоскопического лечения и баллонной тампонады. Баллонная тампонада ВРВ зондом-обтуратором Блекмора способна лишь временно обеспечить гемостаз. Тем не менее, это позволяет компенсировать геморрагический шок, даёт возможность подготовить больного к более радикальным манипуляциям: хирургическому вмешательству или эндоскопическому лечению (эндоскопическое лигирование (ЭЛ) варикозных вен и эндоскопическая склеротерапия (ЭС)). [5-7, 10, 13, 64]

В дополнение, комплексное лечение кровотечения должно, помимо адекватного восполнения ОЦК с использованием при необходимости компонентов крови и кровезаменителей, включать в себя и профилактическое назначение антибиотиков. [15] Эндоскопическое лечение показало эффективность, как в острой ситуации, так и в качестве меры вторичной профилактики кровотечений из ВРВ пищевода и желудка. [5, 9, 13, 14, 65-68] Сравнительно недавно опубликованные данные 2-х исследований из Индии показали более высокую эффективность, меньшие число осложнений и интенсивность образовавшихся новых ВРВ в ходе наблюдения после ЭЛ по сравнению с эндоскопической склеротерапией (ЭС). [70, 71] Использование неселективных β-блокаторов отдельно или в сочетании с эндоскопическим лечением также снижает риск повторных кровотечений у таких больных. [46, 65, 71]

Шунтирующие операции являются наиболее радикальным способом лечения, фактически, избавляющим человека от ПГ, проявлений гиперспленизма, портальной билиопатии. [1-7, 10, 22, 24, 35, 72-74, 77-80] Однако ограничивает использование данных операций тот факт, что тромбоз зачастую распространяется на селезёночную и верхнюю брыжеечную вены (37%). [74] Поэтому у таких больных выполнить шунтирование технически не представляется возможным. [1, 2, 4, 5, 7, 10, 20, 2, 24] По данным зарубежных авторов, в настоящее время операции портокавального шунтирования, как правило, применяются при неэффективности консервативных и эндоскопических методов лечения. [15, 20, 24, 63, 75, 76] Наиболее целесообразным является селективное дистальное спленоренальное, мезентерикокавальное шунтирование «бок в бок» или «Н»-типа с интерпозицией синтетического протеза. [1-7, 10, 19, 22, 35, 77] Мезентерикопортальное шунтирование является более физиологичным, но применимо (так называемый «Rex-шунт»), в основном, в педиатрической практике. [20, 22, 24, 35, 63, 75-81] Применение данного пособия у взрослых (в т. ч., с использованием аутовенозной вставки), хотя и описано в ряде исследований [75, 76, 79], тем не менее, требует дальнейшего изучения. [35, 63, 75-79, 80]

В исследовании Senzolo et al. (2006) была показана эффективность трансъюгулярного внутрипеченочного портосистемного шунтирования (TIPS) при лечении больных с тотальным ТВВ. Данная процедура выполнялась 23 пациентам. Успешность метода была отмечена в 73% наблюдений, включая 6 из 9 больных с кавернозной трансформацией ВВ. [61]

Операции азигопортального разобщения, такие как деваскуляризация желудка, гастротомия с прошиванием ВРВ нижней трети пищевода и желудка (операция М. Д. Пациоры), по настоящее время не утратили своего значения, главным образом, в ургентных ситуациях, т. к. позволяют справиться с кровотечением при неэффективности других способов лечения. Хотя, несомненно стоит сказать, что подобные операции не избавляют пациента от ПГ и повторного образования ВРВ. [1-7, 10, 80]

Ограничено в настоящее время и использование спленэктомии для коррекции ПГ. Применение оправдано лишь в случае тяжело протекающего гиперспленизма. [1, 74] Наряду с паллиативностью этого вмешательства, данная операция лишает больного возможности выполнить ему в дальнейшем спленоренальное шунтирование; более того, при ХМПЗ паренхима селезёнки является очагом экстрамедуллярного кроветворения, и её удаление может привести к фатальным последствиям. [74] Стоит добавить, что у больных с ХМПЗ как в до- так и в послеоперационном периоде целесообразно проводить специфическую циторедуктивную терапию совместно со специалистами-гематологами; это значительно улучшает результаты их лечения и дальнейший прогноз. [6, 7, 10, 33, 34, 45]

Несмотря на тяжесть осложнений ПГ, прогноз у данной категории больных остаётся относительно благоприятным: 5- летняя выживаемость у них при адекватном лечении и профилактике достигает 85-95%. [10, 17, 18, 20- 22, 24, 33, 40, 76, 81] Летальность у таких больных, как правило, связана с сопутствующими заболеваниями, а не с осложнениями ПГ. [16, 21, 24, 39, 76, 81]

Заключение

ТВВ является относительно редким полиэтиологическим заболеванием. Ввиду преобладания неспецифической симптоматики на момент своего возникновения, болезнь часто остается незамеченной вплоть до развития синдрома ПГ и её тяжелых, угрожающих жизни, осложнений. Однако при должной настороженности клинициста, достаточном техническом оснащении лечебного учреждения, диагностика ТВВ не представляет больших сложностей. Вместе с тем, немедленное начало адекватного лечения при раннем обнаружении данной патологии дает шанс полностью исцелить больного или, по крайней мере, предотвратить прогрессирование заболевания и развитие серьезных осложнений, в частности, кровотечений из варикозных вен пищевода и желудка.

Список литературы:

1. Ерамишанцев А.К. Первичная внепеченочная портальная гипертензия и её хирургическое лечение. // Дисс. докт. мед. наук. – М. 1983. 325 с.

2. Ерамишанцев А.К., Лебезев В.М. Эволюция хирургии внепеченочной портальной гипертензии. // Хирургия. – 1998. - №6. – С. 29-32.

3. Ерамишанцев А.К., Лебезев В.М., Шерцингер А.Г., Цацаниди К.Н. Переоценка взглядов на сосудистые портокавальные анастомозы в хирургии портальной гипертензии. // Хирургия. – 1991. – №6. – С. 78-82.

4. Пациора М.Д., Ерамишанцев А.К. Хирургия внепеченочной портальной гипертензии. // Хирургия. – 1977. – № 6. С. 52-58.

5. Киценко Е.А. Прямые вмешательства на варикозно расширенных венах пищевода и желудка у больных с внепеченочной портальной гипертензией. // Дисс. докт. мед. наук. – М. 2004. 215 с.

6. Киценко Е.А., Любивый Е.Д., Лукина Е.А., Коршунов И.Б. Тромбофилия как причина внепеченочной портальной гипертензии. // Анналы хирургической гепатологии. 2007. Том 12 №2. С. 26-30.

7. Киценко Е.А., Лукина Е.А., Демьянов А.И., Любивый Е.Д., Сысоева Е.П., Дмитренко Е.В., Фандеев Е.Е. Результаты лечения кровотечений из варикозно расширенных вен пищевода и желудка у больных с внепеченочной портальной гипертензией и хроническими миелопролиферативными заболеваниями. // Вестник хирургической гастроэнтерологии. 2011. №1. С. 33-42.

8. Зубаиров Д.М. Врожденная тромбофилия. // Соросовский образовательный журнал. 1997. №8. С. 33-37.

9. Сенько В.В., Калинин Е. Ю., Распереза Д. В. Внепеченочная портальная гипертензия: оптимизация подходов к лечению. // Вестник Санкт-Петербургского университета. – Серия 11. 2008. Прил. к вып. 1. С. 155-157.

10. Дмитренко Е.В. Лечение и профилактика кровотечений из варикозно расширенных вен пищевода и желудка у больных с внепеченочной портальной гипертензией и заболеваниями системы крови. // Дисс. канд. мед. наук. – М. 2009. 158 с.

11. Боровков Н.Н, Волкова С.А., Евдокимова Н.М., Лебедева А.И. Болезни системы крови: механизмы развития, диагностические критерии и принципы терапии. // Ниж. Новгород. 2002. 141 с.

12. Воробьев А.И. Руководство по гематологии. 4-е изд. М.: Ньюдиамед, 2007. 1275 с.

13. Жигалова С.Б. Эндоскопические технологии в лечение и профилактике кровотечений из варикозно расширенных вен пищевода и желудка у больных с портальной гипертензией. // Дисс. докт. мед. наук. – М. 2011. 300 с.

14. Шерцингер А.Г., Киценко Е.А. Возможности прогнозирования возникновения гастроэзофагальных кровотечений у больных портальной гипертензией. // В кн.: Хирургия портальной гипертензии. М. 1984. С. 152-155.

15. De Franchis R. Revising consensus in portal hypertension: Report of the Baveno V consensus workshop on methodology of diagnosis and therapy in portal hypertension J. Hepatol 2010; Vol. 53. 762-768.

16. Ögren M, Bergqvist D, Bjorck M, et al. Portal vein thrombosis: prevalence, patient characteristics and lifetime risk: a population study based on 23,796 consecutive autopsies. World J Gastroenterol. 2006; 12: 2115-2119.

17. Sarin SK, Sollano JD, Chawla YK, et al. Members of the APASL Working Party on Portal Hypertension. Consensus on extra-hepatic portal vein obstruction. Liver Int. 2006; 26: 512-519.

18. Valla DC, Condat B, Lebrec D. Spectrum of portal vein thrombosis in the West. J Gastroenterol Hepatol 2002; 17 (Suppl 3): S224-S227.

19. Wang JT, Zhao HY, Liu YL. Portal vein thrombosis. Hepatobiliary Pancreat Dis Int 2005; 4: 515-518.

20. Ponziani FR, Zocco MA, Campanale C, Rinninella E, et al. Portal vein thrombosis: Insight into physiology, diagnosis, and treatment. World J Gastroenterol 2010 14; 16 (2): 143-155.

21. Janssen HL, Wijnhoud A, Haagsma EB, et al. Extrahepatic portal vein thrombosis: aetiology and determinants of survival. Gut 2001; 49: 720-724.

22. Chawla Y, Duseja A, Dhiman RK. Review article: the modern management of portal vein thrombosis. Aliment Pharmacol Ther 2009; 30: 881-894.

23. Garcia-Pagán JC, Hernándes-Guerra M, Bosch J. Extrahepatic portal vein thrombosis. Semin Liver Dis 2008; 28: 282-292.

24. Primignani M, Martinelli I, Bucciarelli P, ct al. Risk factors for thrombophilia in extrahepatic portal vein obstruction. Hepatology 2005; 41 (3): 603-608.

25. Rosendaal FR. Venous thrombosis: a multicausal disease. Lancet 1999; 353 (9159): 1167-1173.

26. Fujita F, Lyass S, Otsuka K, et al. Portal vein thrombosis following splenectomy: identification of risk factors. Am Surg 2003; 69: 951-956.

27. Bick RL. Coagulation abnormalities in malignancy: a review. Semin Thromb Hemost 1992; 18 (4): 353-372.

28. Plessier A, Murad SD, Hernandez-Guerra M, et al. A prospective multicentric follow-up study on 105 patients with acute portal vein thrombosis (PVT): results from the European Network for Vascular Disorders of the Liver (EN-VIE). Hepatology 2007; 46 (suppl 1): 310A.

29. Murad SD, Valla DC, de Groen PC, et al. Pathogenesis and treatment of Budd-Chiari syndrome combined with portal vein thrombosis. Am J Gastroenterol 2006; 101 (1): 83-90.

30. Bombeli T, Basic A, Fehr J. Prevalence of hereditary thrombophilia in patients with thrombosis in different venous systems. Am J Hematol 2002; 70: 126-132.

31. Bhattacharyya M, Makharia G, Kannan M, et al. Inherited prothrombotic defects in Budd-Chiari syndrome and portal vein thrombosis: a study from North India. Am J Clin Pathol 2004; 121: 844-847.

32. Primignani M, Barosi G, Bergamaschi G, et al. Role of the JAK2 mutation in the diagnosis of chronic myeloproliferative disorders in splanchnic vein thrombosis. Hepatology 2006; 44 (6): 1528-1534.

33. Amitrano L, Guardascione MA, Scaglione M, et al. Prognostic factors in noncirrhotic patients with splanchnic vein thromboses. Am J Gastroenterol 2007; 102 (11): 2464-2470.

34. Valla D, Casadevall N, Huisse MG, Tulliez M, Grange JD, Muller O, Binda T, Varet B, Rueff B, Benhamou LP. Etiology of portal vein thrombosis in adults. A prospective evaluation of primary myeloproliferative disorders. Gastroenterology 1988; 94: 1063-1069.

35. Hoekstra J, Janssen HL. Vascular liver disorders (II): portal vein thrombosis. Neth J Med 2009; 67: 46-53.

36. Xavier SG, Gadelha T, Pimenta G, Eugenio AM, Ribeiro DD, Gomez FM, Bonamino M, Zalcberg IR, Spector N. JAK2V617F Mutation in Patient with Splanchnic Vein Thrombosis. Dig Dis Sci 2009; E-pub ahead of print.

37. Janssen HL, Meinardi JR, Vleggaar FP, et al. Factor V Leiden mutation, prothrombin gene mutation, and deficiencies in coagulation inhibitors associated with Budd-Chiari syndrome and portal vein thrombosis: results of a case-control study. Blood 2000; 96: 2364-2368.

38. Denninger MH, Chaït Y, Casadevall N, et al. Cause of portal or hepatic venous thrombosis in adults: the role of multiple concurrent factors. Hepatology 2000; 31 (3): 587-591.

39. Turnes J, Garcia-Pagan JC, Gonzalez M, et al. Portal hypertensive complications after acute portal vein thrombosis: impact of early anticoagulation. Clin Gastroenterol Hepatol 2008. In press.

40. Sogaard KK, Astrup LB, Vilstrup H, Gronbaek H. Portal vein thrombosis; risk factors, clinical presentation and treatment. BMC Gastroenterol 2007; 7: 34.

41. De Bruijne EL, Murad SD, de Maat MP, et al. Liver and Thrombosis Study Group. Genetic variation in thrombin-activatable fibrinolysis inhibitor (TAFI) is associated with the risk of splanchnic vein thrombosis. Thromb Haemost 2007; 97: 181-185.

42. Martinelli I, Primignani M, Aghemo A, et al. High levels of factor VIII and risk of extra-hepatic portal vein obstruction. J Hepatol 2009; 50: 916-922.

43. Henderson JM, Gilmore GT, Mackay GJ, et al. Hemodynamics during liver transplantation: the interactions between cardiac output and portal venous and hepatic arterial flows. Hepatology 1992; 16: 715-718.

44. De Gaetano AM, Lafortune M, Patriquin H, et al. Cavernous transformation of the portal vein: patterns of intrahepatic and splanchnic collateral circulation detected with Doppler sonography. AJR Am J Roentgenol 1995; 165: 1151-1995.

45. Tefferi A, Thiele J, Orazi A, et al. Proposals and rationale for revision of the World Health Organization diagnostic criteria for polycythemia vera, essential thrombocythemia, and primary myelofibrosis: recommendations from an ad hoc international expert panel. Blood 2007; 110: 1092-1097.

46. Condat B, Pessione F, Hillaire S, et al. Current outcome of portal vein thrombosis in adults: risk and benefit of anticoagulant therapy. Gastroenterology 2001; 120 (2): 490-497.

47. Lee HK, Park SJ, Yi BH, et al. Portal vein thrombosis: CT features. Abdom Imaging 2008; 33: 72-79.

48. Dhiman RK, Puri D, Chawla Y, et al. Biliary changes in extrahepatic portal venous obstruction compression by collaterals or ischemia? Gastrointest Endosc 1999; 50: 646-652.

49. Doria C, Marino IR. Acute portal vein thrombosis secondary to donor ⁄ recipient portal vein diameter mismatch after orthotopic liver transplantation: a case report. Int Surg 2003; 88: 184-187.

50. Ganguly S, Sarin SK, Bhatia V, Lahoti D. The prevalence and spectrum of colonic lesions in patients with cirrhotic and noncirrhotic portal hypertension. Hepatology 1995; 21 (5): 1226-1231.

51. Condat B, Vilgram V, Asselak T, et al. Portal carvernoma associated holangiopathy a clinical and MR cholangiography coupled with MR portography imaging study. Hepatology 2003; 37: 1302-1308.

52. Malkhan GH, Bhatia ST, Bastin K, et al. Cholangiography associated with portal hypertension diagnostic evaluation and clinical implications. Gastroint Endos 1999; 49: 344-348.

53. Chawla Y, Dilawari JB. Anorectal varices-their frequency in cirrhotic and non-cirrhotic portal hypertension. Gut 1991; 32 (3): 309-311.

54. Chawla Y, Dilawari JB, Katariya S. Gallbladder varices in portal vein thrombosis. AJR Am J Roentgenol 1994; 162 (3): 643-645.

55. Sezgin O, Oguz D, Altintas E, Saritas U, Sahin B. Endoscopic management of biliary obstruction caused by cavernous transformation of the portal vein. Gastrointest Endosc 2003; 58 (4): 602-608.

56. Rangari M, Gupta R, Jain M, Malhotra V, Sarin SK. Hepatic dysfunction in patients with extrahepatic portal venous obstruction. Liver Int 2003; 23 (6): 434-439.

57. Minguez B, Garcia-Pagan JC, Bosch J, et al. Noncirrhotic portal vein thrombosis exhibits neuropsychological and MR changes consistent with minimal hepatic encephalopathy. Hepatology 2006; 43 (4): 707-714.

58. Vilgrain V, Condat B, Bureau C, et al. Atrophy-hyper¬trophy complex in patients with cavernous transformation of the portal vein: CT evaluation. Radiology 2006; 241 (1): 149-155.

59. Condat B, Pessione F, Helcne DM, Hillaire S, Valla D. Recent portal or mesenteric venous thrombosis: increased recognition and frequent recanalization on anticoagulant therapy. Hepatology 2000; 32 (3): 466-470.

60. Cwikiel W, Keussen I, Larsson L, Solvig J, Kullendorff CM. Interventional treatment of children with portal hypertension secondary to portal vein occlusion. Eur J Pediatr Surg 2003; 13 (5): 312-318.

61. Senzolo M, Patch D, Cholongitas E, Burroughs AK. Transjugular intrahepatic portosystemic shunt for portal vein thrombosis with and without underlying cirrhosis. Cardiovasc Intervent Radiol 2007; 30 (3): 545.

62. Thervet L, Faulques B, Pissas A, et al. Endoscopic management of obstructive jaundice due to portal cavernoma. Endoscopy 1993; 25 (6): 423-425.

63. DeLeve LD, Valla DC, Garcia-Tsao G. Vascular Disorders of the liver. Hepatology 2009; 49: 1729-1764.

64. Pavini МТ, Puyana JC Gastroesophageal Balloon Tamponade for Acute Variceal Hemorrhage, Irwin’s and Rippe’s Intensive Care Medicine, ed 6th, Ch. 15: 138-145, 2008.

65. Spaander CW, Murad SD, van Buuren HR, Hansen BE, Kuipers EJ, Janssen HL. Endoscopic treatment of esophagogastric variceal bleeding in patients with noncirrhotic extrahepatic portal vein thrombosis: a long-term follow-up study. Gastrointest Endosc 2008; 67 (6): 821-827.

66. Sarin SK, Sachdev G, Nanda R. Follow-up of patients after variceal eradication. A comparison of patients with cirrhosis, noncirrhotic portal fibrosis, and extrahepatic obstruction. Ann Surg 1986; 204 (1):78-82.

67. Chawla YK, Dilawari JB, Ramesh GN, Kaur U, Mitra SK, Walia BN. Sclerotherapy in extrahepatic portal venous obstruction. Gut 1990; 31 (2): 213-216.

68. Vleggaar FP, van Buuren HR, Schalm SW. Endoscopic sclerotherapy for bleeding oesophagogastric varices secondary to extrahepatic portal vein obstruction in an adult Caucasian population. Eur J Gastroenterol Hepatol 1998; 10 (1): 81-85.

69. Zargar SA, Javid G, Khan BA, et al. Endoscopic ligation compared with sclerotherapy for bleeding esophageal varices in children with extrahepatic portal venous obstruction. Hepatology 2002; 36 (3): 666-672.

70. Zargar SA, Javid G, Khan BA, et al. Endoscopic ligation vs. sclerotherapy in adults with extrahepatic portal venous obstruction: a prospective randomized study. Gastrointest Endosc 2005; 61 (1):58-66.

71. Orr DW, Harrison PM, Devlin J, et al. Chronic mesenteric venous thrombosis: evaluation and determinants of survival during long-term follow-up. Clin Gastroenterol Hepatol 2007; 5 (l): 80-86.

72. Chait Y, Condat B, Cazals-Hatem D, et al. Relevance of the criteria commonly used to diagnose myeloproliferative disorder in patients with splanchnic vein thrombosis. Br J Haematol 2005; 129: 553-560.

73. Kiladjian JJ, Cervantes F, Leebeek FW, et al. The impact of JAK2 and MPL mutations on diagnosis and prognosis of splanchnic vein thrombosis: a report on 241 cases. Blood 2008; 111: 4922-4929.

74. Wolff M, Hirner A. Current state of portosystemic shunt surgery. Langenbecks Arch Surg 2003; 388: 141-149.

75. Warren WD, Henderson JM, Millikan WJ, Galambos JT, Bryan FC. Management of variceal bleeding in patients with noncirrhotic portal vein thrombosis. Ann Surg 1988; 207 (5): 623-634.

76. Orloff MJ, Orloff MS, Girard B, Orloff SL. Bleeding esophagogastric varices from extrahepatic portal hypertension: 40 years' experience with portal-systemic shunt. J Am Coll Surg 2002; 194 (6): 717-728.

77. Sharma BC, Singh RP, Chawla YK, et al. Effect of shunt surgery on spleen size, portal pressure and oesophageal varices in patients with non-cirrhotic portal hypertension. J Gastroenterol Hepatol 1997; 12: 582-584.

78. Query JA, Sandler AD, Sharp WJ. Use of autogenous saphenous vein as a conduit for mesenterico-left portal vein bypass. J Pediatr Surg 2007; 42: 1137-1140.

79. Krebs-Schmitt D, Briem-Richter A, Grabhorn E, et al. Effectiveness of Rex shunt in children with portal hypertension following liver transplantation or with primary portal hypertension. Pediatr Transplant 2009; 13: 540-544.

80. Superina N, Shneider B, Emre S et al. Surgical guidelines for the management of extra-hepatic portal vein obstruction.Pediatr Transplant 2006; 10: 908-913.

81. Sarin SK, Agarwal SR. Extrahepatic portal vein obstruction. Semin Liver Dis 2002; 22 (1): 43-58.

Внимание! Вся изложенная информация, носит сугубо ознакомительный материал и не может служить полным руководством к действию! Требуется консультация специалиста!